グランドメゾンデンタルクリニック
WEB診療予約
03-5951-6020
医院について
診療について
医院からのお知らせNews
医院ブログ2025.07.23
[池袋で丁寧な虫歯治療]小さな虫歯だからこそ、歯...
医院ブログ2025.07.19
【池袋 歯周病専門治療】奥歯の歯ぐきの違和感、放...
医院ブログ2025.07.17
【池袋 歯医者が怖い方へ】歯科恐怖症・苦手意識が...
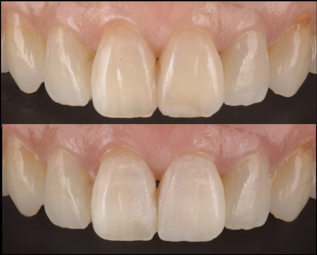
医院ブログ2025.07.09
🦷 1. 症例紹介:歯がすり減って磨耗したケース【...
医院ブログ2025.06.21
【池袋・親知らず抜歯】
医院ブログ2025.06.20
予防という概念
医院ブログ2025.06.18
池袋で丁寧な虫歯治療を
医院ブログ2025.06.09
ホワイトニングのご紹介
医院ブログ2025.06.06
インプラント治療に3〜4ヶ月も待てない方へ。池袋...